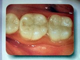
奥歯のエステ

今まで入れていた銀色のかぶせてある歯。大きく口をあけて笑ったときに、気になりませんか?美しい前歯はもう当たりまえ。奥歯もきれいになってこそ本当に思いっきり笑うことができます。


当医院では前歯も奥歯も自分の歯に極めて近い仕上がりの、歯冠修復材(グラディア)を使用していますので、美しいスマイル・エステが創造できます。

 治療は?>今まで入れていた銀色のかぶせてある歯をはずして、型をとるだけ。2日後には自然な色の歯に仕上がります。

戻る